脳の断面(MRI像)

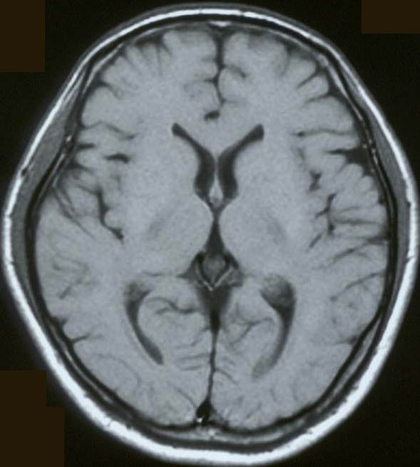
T1強調MRI(左図の7に対応する面) 健康な30歳男性

by 船戸和弥

片山正輝

funalogo.gif (2604 バイト)

更新日:12/04/20

 

T1-7.jpg (50075 バイト)

30歳♂のT1強調MRI画像